Čoraz väčšie využitie AI v zdravotníctve otvára otázky smerom k úhradám či kyberbezpečnosti
Čoraz väčšie využitie AI v zdravotníctve otvára otázky smerom k úhradám či kyberbezpečnosti
Umelú inteligenciu už mnohí lekári vnímajú ako nástroj, ktorý im pomôže spresniť, doplniť a urýchliť diagnózy pacientov a liečbu. Vývoj AI postupuje nie len v zdravotníctve míľovými krokmi. No pokiaľ ide o zdravotníctvo, je nutné dbať na všetky aspekty, ktoré tento technologický pokrok prináša so sebou. Od prísnej certifikácie a novej európskej direktívy MDR, cez Akt o umelej inteligencii, ktorý má zaisťovať dôveryhodnosť, bezpečnosť a rešpektovanie práv Európskej únie, až po dodržiavanie GDPR, úhradovú podporu od poisťovní či kybernetickú bezpečnosť.
Pri akých diagnózach sa dnes v rádiodiagnostike využíva AI?
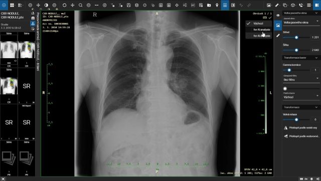
AI má v dnešnej dobe využitie v rôznych oblastiach. Napríklad pri diagnostike pľúcnych ochorení ako je edém či tuberkulóza môžu pomôcť riešenia vyhodnocujúce röntgen pľúc, iné AI riešenia, ktoré sú schopné vyhodnocovať CT pľúc, môžu byť nápomocné pri identifikácii pľúcnych nodulov, teda oblastí značiacich prvopočiatok malígneho ochorenia. Röntgen končatín je možné zanalyzovať pomocou AI a identifikovať tak fraktúru, dislokáciu alebo kĺbny výpotok. Analýza CT mozgu s využitím AI zase pomôže s diagnózami ako je fraktúra lebky či krvácanie. Ďalšie uplatnenie AI nájdeme v mamografii pri detekcii a klasifikácii mikrokalcifikácií alebo hodnotení hustoty pŕs pomocou stupnice BI-RADS. Rovnako je možné využiť AI pri príprave merania – klasifikácia skoliózy, náklon pánvy, dysplazia bedrového kĺbu. V oftalmológii vie AI pomôcť s diabetickou retinopatiu, glaukomom (zeleným zákalom) či vekom podmienenou makulárnou degeneráciou (AMD). Dôležité vo všetkých prípadoch je, aby využívané riešenia boli certifikované ako zdravotnícky prostriedok a odpovedali novému nariadeniu o zdravotníckych prostriedkoch MDR.

S využitím AI v lekárskej praxi sa môžeme inšpirovať v susednej Českej republike
Využitie AI v praxi dostalo v Česku zelenú pred asi rokom, kedy sa priekopníkom stala oblasť oftalmológie. Podľa českej legislatívy je možné aktuálne využitie AI na diagnostiku diabetickej retinopatie, ktorá je hradená zdravotnou poisťovňou. Ďalšiu víziu predstavil český minister zdravotníctva Vlastimil Válek na Európskom rádiologickom kongrese vo Viedni na začiatku marca, podľa ktorej by sa malo v rádiodiagnostike od roku 2026 začať s automatickým vyhodnocovaním snímok pri mamografickom screeningu zameranom na prevenciu rakoviny prsníka. Cieľom je využiť AI na druhé čítanie s úhradou od poisťovne. Tento fakt, ktorým sú úhrady poisťovní, je dôležitým mílnikom k tomu, aby sa využitie AI penetrovalo plošne do bežných lekárskych prevádzok. Preto je na mieste apel na zdravotné poisťovne, aby medzi bežne hradené úkony zaradili aj využívanie AI.

AI ako slabé miesto kyberbezpečnosti nemocníc?
Zamýšlali ste sa nad tým, kde je vlastne AI inštalovaná, keď ju chce nemocnica využívať? Väčšina dodávateľov umožňuje oba spôsoby, teda inštaláciu on-premise (tj. vo vlastnej infraštruktúre nemocnice) aj inštaláciu v cloude, pričom práve cloudy sú využívanejšie. Zároveň ale platí aj to, že cloudy sú zraniteľnejšie. V tomto prípade je treba dbať na zvýšenú bezpečnosť, šifrovanie komunikácie a anonymizovanie dát, ktoré opúšťajú prostredie nemocnice. Zároveň by malo byť dané riešenie AI umiestnené v cloude v rámci Európskej únie. Pri výbere AI je dobré sa uistiť, či výrobca svoje riešenie penetroval a realizoval skúšky s cieľom identifikovať zraniteľnosti svojho systému voči útoku hackerov. Samostatnú kapitolu tvoria aj inštalácie AI do prostredia nemocnice štýlom „tak, ako prídu“, niektoré AI môžu byť využívané na modalite, iné sú do nemocnice nainštalované samostatne bez súčinnosti dodávateľov aktuálne využívaných nemocničných systémov a bez integrácie do jednotného používateľského prostredia. Nemocnice by sa teda mali brániť nekoordinovanému zavádzaniu rôznych AI technológií od rôznych dodávateľov a mali by k tejto problematike pristupovať systematicky a s ohľadom na bezpečnosť pacientskych dát. Výsledky analýz rôznych AI by sa naviac mali používateľom zobrazovať jednotným spôsobom bez ohľadu na to, z akej umelej inteligencie pochádzajú. Ideálnym východiskom z tejto situácie je integrovať riešenia AI do jedného systému, napríklad PACS (systému na archiváciu a zobrazovanie obrazovej dokumentácie), s ktorým pracuje každý rádiológ. Výhodou tohto konceptu je, že komunikáciu s cloudami a riešeniami AI potom zabezpečuje jeden systém z nemocnice a používateľ pracuje s jedným systémom, resp. jedným prostredím. Výsledky rôznych dodávateľov AI sú tak tiež zobrazované pre používateľa v jednotnej forme.
Umelú inteligenciu už mnohí lekári vnímajú ako nástroj, ktorý im pomôže spresniť, doplniť a urýchliť diagnózy pacientov a liečbu. Vývoj AI postupuje nie len v zdravotníctve míľovými krokmi. No pokiaľ ide o zdravotníctvo, je nutné dbať na všetky aspekty, ktoré tento technologický pokrok prináša so sebou. Od prísnej certifikácie a novej európskej direktívy MDR, cez Akt o umelej inteligencii, ktorý má zaisťovať dôveryhodnosť, bezpečnosť a rešpektovanie práv Európskej únie, až po dodržiavanie GDPR, úhradovú podporu od poisťovní či kybernetickú bezpečnosť.
Pri akých diagnózach sa dnes v rádiodiagnostike využíva AI?
AI má v dnešnej dobe využitie v rôznych oblastiach. Napríklad pri diagnostike pľúcnych ochorení ako je edém či tuberkulóza môžu pomôcť riešenia vyhodnocujúce röntgen pľúc, iné AI riešenia, ktoré sú schopné vyhodnocovať CT pľúc, môžu byť nápomocné pri identifikácii pľúcnych nodulov, teda oblastí značiacich prvopočiatok malígneho ochorenia. Röntgen končatín je možné zanalyzovať pomocou AI a identifikovať tak fraktúru, dislokáciu alebo kĺbny výpotok. Analýza CT mozgu s využitím AI zase pomôže s diagnózami ako je fraktúra lebky či krvácanie. Ďalšie uplatnenie AI nájdeme v mamografii pri detekcii a klasifikácii mikrokalcifikácií alebo hodnotení hustoty pŕs pomocou stupnice BI-RADS. Rovnako je možné využiť AI pri príprave merania – klasifikácia skoliózy, náklon pánvy, dysplazia bedrového kĺbu. V oftalmológii vie AI pomôcť s diabetickou retinopatiu, glaukomom (zeleným zákalom) či vekom podmienenou makulárnou degeneráciou (AMD). Dôležité vo všetkých prípadoch je, aby využívané riešenia boli certifikované ako zdravotnícky prostriedok a odpovedali novému nariadeniu o zdravotníckych prostriedkoch MDR.

S využitím AI v lekárskej praxi sa môžeme inšpirovať v susednej Českej republike
Využitie AI v praxi dostalo v Česku zelenú pred asi rokom, kedy sa priekopníkom stala oblasť oftalmológie. Podľa českej legislatívy je možné aktuálne využitie AI na diagnostiku diabetickej retinopatie, ktorá je hradená zdravotnou poisťovňou. Ďalšiu víziu predstavil český minister zdravotníctva Vlastimil Válek na Európskom rádiologickom kongrese vo Viedni na začiatku marca, podľa ktorej by sa malo v rádiodiagnostike od roku 2026 začať s automatickým vyhodnocovaním snímok pri mamografickom screeningu zameranom na prevenciu rakoviny prsníka. Cieľom je využiť AI na druhé čítanie s úhradou od poisťovne. Tento fakt, ktorým sú úhrady poisťovní, je dôležitým mílnikom k tomu, aby sa využitie AI penetrovalo plošne do bežných lekárskych prevádzok. Preto je na mieste apel na zdravotné poisťovne, aby medzi bežne hradené úkony zaradili aj využívanie AI.

AI ako slabé miesto kyberbezpečnosti nemocníc?
Zamýšlali ste sa nad tým, kde je vlastne AI inštalovaná, keď ju chce nemocnica využívať? Väčšina dodávateľov umožňuje oba spôsoby, teda inštaláciu on-premise (tj. vo vlastnej infraštruktúre nemocnice) aj inštaláciu v cloude, pričom práve cloudy sú využívanejšie. Zároveň ale platí aj to, že cloudy sú zraniteľnejšie. V tomto prípade je treba dbať na zvýšenú bezpečnosť, šifrovanie komunikácie a anonymizovanie dát, ktoré opúšťajú prostredie nemocnice. Zároveň by malo byť dané riešenie AI umiestnené v cloude v rámci Európskej únie. Pri výbere AI je dobré sa uistiť, či výrobca svoje riešenie penetroval a realizoval skúšky s cieľom identifikovať zraniteľnosti svojho systému voči útoku hackerov. Samostatnú kapitolu tvoria aj inštalácie AI do prostredia nemocnice štýlom „tak, ako prídu“, niektoré AI môžu byť využívané na modalite, iné sú do nemocnice nainštalované samostatne bez súčinnosti dodávateľov aktuálne využívaných nemocničných systémov a bez integrácie do jednotného používateľského prostredia. Nemocnice by sa teda mali brániť nekoordinovanému zavádzaniu rôznych AI technológií od rôznych dodávateľov a mali by k tejto problematike pristupovať systematicky a s ohľadom na bezpečnosť pacientskych dát. Výsledky analýz rôznych AI by sa naviac mali používateľom zobrazovať jednotným spôsobom bez ohľadu na to, z akej umelej inteligencie pochádzajú. Ideálnym východiskom z tejto situácie je integrovať riešenia AI do jedného systému, napríklad PACS (systému na archiváciu a zobrazovanie obrazovej dokumentácie), s ktorým pracuje každý rádiológ. Výhodou tohto konceptu je, že komunikáciu s cloudami a riešeniami AI potom zabezpečuje jeden systém z nemocnice a používateľ pracuje s jedným systémom, resp. jedným prostredím. Výsledky rôznych dodávateľov AI sú tak tiež zobrazované pre používateľa v jednotnej forme.
Opýtajte sa na ďalšie výhody integrácie AI do systému PACS spoločnosti OR-CZ, ktorá má viac než 20 ročné skúsenosti v oblasti digitalizácie rádiologických prevádzok a nechajte si tak poradiť od českého lídra na trhu.
Prihláste sa na Jarná ITAPA 2026